Flat Adenoma Resection Instrument (Typ C)
zur en-bloc Resektion großer Läsionen nahe der Muskolaris propria
Das „Flat Adenoma Resection Instrument (Typ C)“ wurde entwickelt um insbesondere große polypenartige sowie flache Läsionen > 2 cm bis ca. 4 cm en bloc nahe der Muskularis propria und mit geringen mechanischen und / oder thermischen Artefakten in relativ kurzer Zeit (reine Resektionsdauer, also ohne die Zeit für die Markierung Unterspritzung und Umschneidung < 1 Minute) resezieren zu können.
Wichtigster Anlass der Entwicklung dieser Instrumente waren und sind auch weiterhin die Anforderungen der Onkologie, nämlich Resektion pathologischer Gewebeareale der Mukosa und / oder Submukosa des Magendarmtrakts in sano, sowie die Anforderungen der Pathologie, nämlich Resektion möglichst en-bloc und ohne mechanische und / oder thermische Artefakte im Resektat, so, dass eine einwandfreie pathohistologische Untersuchung des Resektats möglich ist.
Ein neues Endoscopic Submucosa Resection (ESR) genanntes Verfahren und hierfür geeignete Instrumente (Flat Adenoma Resektion) sind nun nach ausführlichen in vitro Tests und zeitraubender aber erfolgreicher CE-Zeichen Approbation für klinische Anwendungen verfügbar.
Das Wichtigste an diesen Instrumenten ist der Effektor, den es als symetrisch öffnende und schliessende (Abb.2b) HF-chirurgische Resektionsschlinge gibt.
Weitere Details entnehmen Sie bitte unserem Produktblatt (PDF-Download)
Beim Fachverlag - © Georg Thieme Verlag KG Stuttgart · New York - ist ein Artikel in der Zeitschrift "Endoscopy ( 2016; 48(S 01): E218-E219 )" zur Anwendung und Gebrauch mit Video erschienen.
Zum Artikel (externer Link!)

... Weitere Infos
Ziel der Entwicklung neuer Verfahren und Instrumente zur endoskopischen Entfernung insbesondere großer Polypen (>2 cm)
und flacher Läsionen der mukosa des Magendarmtrakts ist die Erfüllung der diesbezüglichen Anforderungen seitens der Onkologie,
also der Entfernung pathologischer Gewebe in sano, und der Pathologie, also Entfernung pathologischer Gewebe möglichst en-bloc
und unterhalb von sm1, bzw. nahe der muskularis propria, optimal entsprechend der Schnittführung A in Abb. 1.
Mit den bisher verfügbaren Verfahren der endoskopischen Polypektomie (EPE) und Mukosaresektion (EMR), die beide
mit konventionellen Polypektomie- bzw. HF-chirurgischen Resektionsschlingen durchgeführt werden, können die o.g.
Anforderungen der Onkologie und Pathologie nicht sicher erfüllt werden.
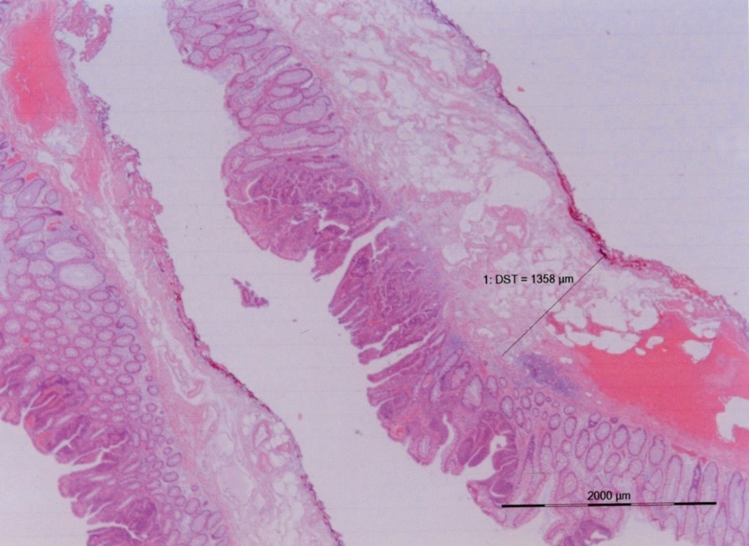
Eines der ersten Ergebnisse einer ESR mit einem Flat Adenoma Resection Instrument (Resekteur: OA Dr. med. S. Gölder, III. Med. Klinik des Zentralklinikums Augsburg, CA Prof. Dr. H. Messmann) bestätigt die Erfüllung der o.g. Anforderungen der Onkologie und Pathologie.
Abb. 4: Resektat nach Resektion mit einem Flat Adenoma Resection Instrument (S. Gölder, H. Messmann, Augsburg).